Composiet Facings
Belangrijk: Bij composiet facings worden je tanden niet geslepen.
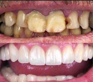
Veel mensen dromen van een stralende lach. Met de hulp van composiet facings, aangeboden door Qualident, kunt u die droom werkelijkheid maken. Deze populaire tandheelkundige oplossing helpt bij het verbeteren van de esthetiek van uw tanden en biedt bovendien een niet-invasieve aanpak.

Wat zijn composiet facings?
Composiet facings zijn dunne laagjes van composiethars die direct op uw bestaande tanden worden aangebracht. Deze techniek biedt niet alleen esthetische voordelen, maar kan ook worden ingezet bij tandproblemen zoals:
- Verkleuring
- Scheurtjes
- Ongelijke tanduitlijning
Heeft u geen perfecte tanden? Geen zorgen. Qualident helpt u graag om het gewenste resultaat te bereiken.
De voordelen van composiet facings
- Geen slijpen van uw tanden: Uw natuurlijke tanden blijven intact.
- Natuurlijke uitstraling: De kleur wordt aangepast aan uw bestaande gebit.
- Snel resultaat: De behandeling wordt vaak in één afspraak afgerond.
- Betaalbare optie: Composiet facings zijn voordeliger dan porseleinen facings.
Hoe verloopt de behandeling?
1. Consultatie
Tijdens een eerste afspraak inspecteren onze professionals uw gebit en bespreken zij uw wensen en verwachtingen. Zo krijgt u een persoonlijk advies op maat.
2. Aanbrengen van de facings
De tandarts brengt een laagje composiethars direct aan op uw tanden. Deze laag wordt nauwkeurig gevormd, aangepast aan uw gebit en vervolgens uitgehard met een speciale lamp.
3. Polijsten
Na het uitharden worden de facings gepolijst voor een stralende en natuurlijke afwerking.
Onderhoud van composiet facings
Om het resultaat langdurig mooi te houden, is het belangrijk om:
- Regelmatig te poetsen en te flossen
- Periodieke tandartscontroles in te plannen
Met de juiste zorg kunnen uw facings jarenlang meegaan.
Waarom kiezen voor composiet facings?
Bij Qualident staan we bekend om onze hoogwaardige tandheelkundige zorg tegen betaalbare tarieven. Met composiet facings geniet u van een stralende glimlach zonder ingrijpende behandelingen. Deze facings zijn bovendien ideaal voor mensen met een beperkt budget die toch een prachtige lach willen.
Plan uw consultatie bij Qualident
Bent u klaar om uw glimlach te verbeteren? Neem contact op met Qualident voor een consult. Onze ervaren tandartsen staan klaar om u te begeleiden en samen uw droomglimlach te realiseren.
Bij Qualident geloven we dat iedereen recht heeft op een stralende glimlach. Onze zorg en technieken zijn erop gericht om dit mogelijk te maken – gewoon in Nederland, zonder verborgen kosten of gedoe.
Composiet Facings
- 20 stuks (boven- en onderkaak) v.a. €1999
- Prijs per facing v.a. €100
Veel gestelde vragen - Composiet Facings
Wat zijn composiet facings?
Composiet facings zijn dunne laagjes tandkleurig materiaal die direct op je tanden worden aangebracht. Ze verbeteren de kleur, vorm en stand van je tanden op een snelle en betaalbare manier.
Hoe lang gaan composiet facings mee?
Met goede mondhygiëne en regelmatige controles kunnen composiet facings 5 tot 7 jaar meegaan. Kleine aanpassingen of reparaties kunnen eenvoudig worden uitgevoerd indien nodig.
Wat is het verschil tussen composiet facings en porseleinen facings?
Composiet facings zijn goedkoper, sneller te plaatsen en minder ingrijpend. Porseleinen facings zijn duurzamer, kleurvaster en bieden een natuurlijker resultaat, maar zijn prijziger.
Doen composiet facings pijn tijdens het aanbrengen?
Nee, het aanbrengen van composiet facings is pijnloos. Er wordt geen tandweefsel verwijderd, waardoor verdoving meestal niet nodig is.
Kan ik zelf de kleur van mijn facings kiezen?
Ja, tijdens de afspraak kun je samen met de specialist de kleur kiezen die het beste bij jouw wensen en natuurlijke gebit past.
Hoe verloopt het proces van composiet facings?
- De tanden worden gereinigd en voorbereid.
- Het composietmateriaal wordt direct op de tanden aangebracht en in de gewenste vorm gemodelleerd.
- Met een speciaal licht wordt het composiet uitgehard en gepolijst voor een natuurlijke, glanzende uitstraling.
Hebben composiet facings speciale nazorg nodig?
Ja, we raden aan om regelmatig te poetsen met een zachte tandenborstel en een niet-schurende tandpasta. Vermijd het bijten op harde objecten zoals ijs of pennen om beschadiging te voorkomen.
Wat kost een behandeling met composiet facings?
Bij Qualident kun je al een complete behandeling van 20 composiet facings krijgen vanaf €1.999. We bieden ook flexibele betaalopties aan zonder BKR-registratie.
Kan ik eten en drinken met composiet facings?
Ja, je kunt normaal eten en drinken met composiet facings. Let wel op met het consumeren van sterk kleurende voedingsmiddelen zoals koffie, thee en rode wijn, omdat deze na verloop van tijd vlekken kunnen veroorzaken.
Zijn composiet facings geschikt voor iedereen?
Composiet facings zijn ideaal voor mensen die kleine cosmetische verbeteringen willen, zoals het corrigeren van verkleuringen, kleine scheefstanden of beschadigingen. Tijdens een consult beoordelen we of deze behandeling geschikt is voor jou.


